최근 우리나라에서는 연 10만건 이상의 인공관절 수술이 시행되고 있으며,
평균수명 증가로 치료대상 범위가 점차 확대되고 있습니다.
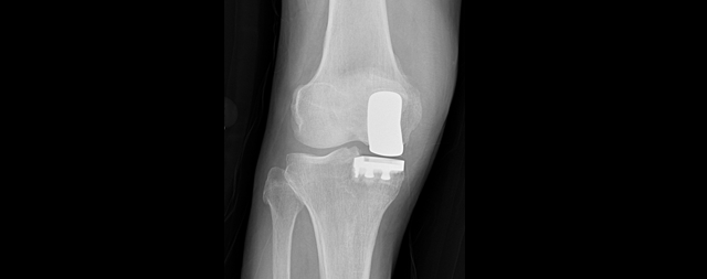
병변 심한 관절면만 부분적으로 제거한 뒤, 인공관절로 대체해 주변 인대나 힘줄, 근육 등 최대한 보존이 가능합니다.
전지환술에 비해 조직 이물감이 덜하고 수술 다음날부터 목발없이 걸을 수 있을 정도로 운동성이 우수합니다.
부분치환술은 추후 전치환술이 가능해 비교적 젊은 나이에도 수술을 받을 수 있습니다.
손상된 관절면 전체를 제거한 뒤, 관절구조와 가장 흡사한 규격의 인공관절을 만들어 새로 끼워넣는 방법입니다.
퇴행성 관절염 환자에게 적용하는 마지막 방법입니다. 통증없는 보행, 가벼운 등산, 수영 등 가벼운 운동이 가능합니다.



| 평택우리병원 황금인공관절 |
S사 인공관절 | Z사 인공관절 | |
|---|---|---|---|
| 무게 | 180g | 325g | 430g |
| 재질 | 티타늄 | 코발트크롬 | 코발트크롬 |
| 처리방식 | TIN코팅 | 폴리싱 | 폴리싱 |
| 니켈함유량 | 약 0.01% | 약 1% | 약 1% |
| 좌우 회전율 | 좌우 총 90도 | 거의 회전 불가 | 거의 회전 불가 |
수술의 안전성
무수혈, 무통증, 최소절개수술로 최소
환자의 증상별 맞춤수술
각 환자의 관절에 맞는 개인형
수술 후 재활 및 만족도
원스톱 재활, 보행, 퇴원 등| 평택우리병원에서 사용하는 인공관절은 어떤 것인가요? |
|
내 몸 속에 들어가는 인공관절이기 때문에 제대로 확인하고 치료를 받아야 합니다. 무릎에 사용되는 인공관절의 경우, 재료가 매우 중요합니다. 어떤 재료를 사용하는 가에 따라서 수명, 무게, 관절운동범위, 알러지 반응 등 다르게 나타날 수 있어서 환자 스스로도 꼼꼼하게 살핀 다음 수술을 진행하는 것이 좋습니다. 평택우리병원에서는 가볍고, 오래 사용가능한, 알러지반응이 적은 황금인공관절을 사용합니다. |
| 인공관절수술은 언제 시행해야하나요? |
| 퇴행성관절염은 치료의 시기가 매우 중요한 질환 중 하나입니다. 한 번 진행이 시작되면 피하기는 어렵지만 치료가 빠를수록 진행을 최대한 늦출 수 있습니다. 인공관절 수술은 관절염의 진행이 악화되어 더 이상 약물로 치료할 수 없을 때 시행하는 최후의 수단입니다. |
|
퇴행성관절염 1단계 [초기] 치료 |
1 약물·주사 비수술치료
2 1:1 맞춤 운동
3 환자의 꾸준한 운동 필요
|
퇴행성관절염 2-3단계 [중기] 치료 |
1 약물·주사 비수술치료
2 1:1 맞춤 운동
3 관절내시경 필요
|
퇴행성관절염 4단계 [말기] 치료 |
1 의료진 진단 하 수술진행
2 무알러지 황금인공관절 사용
3 황금인공관절수술 진행
| 인공관절의 수명은 어느정도 인가요? |
| 인공관절의 수명은 관절부위나 인공삽입물에 따라 조금씩 다르긴 하지만 가장 많이 수술이 시행되는 고관절 및 어깨관절의 경우, 특별한 사항이 아니라면 평생 잘 사용할 수 있습니다. 매년 한 번 이상 정기검진을 권장드립니다. |

인공관절수술 후 주의사항
수술 상처 부위 피부의 감각이 무디거나 과도하게 관절을 구부릴 때에 약간 뻣뻣한 감 등을 느낄 수 있으며,